Periodontal diseases are infections of the gums, which gradually destroy the support of your natural teeth. There are numerous disease entities requiring different treatment approaches. Dental plaque is the primary cause of gum disease in genetically susceptible individuals. Daily brushing and flossing will prevent most periodontal conditions.
Adults over 35 lose more teeth to gum diseases, (periodontal disease) than from cavities. Three out of four adults are affected at some time in their life. The best way to prevent cavities and periodontal disease is by good tooth brushing and flossing techniques, performed daily.
Periodontal disease and decay are both caused by bacterial plaque. Plaque is a colorless film, which sticks to your teeth at the gum line. Plaque constantly forms on your teeth. By thorough daily brushing and flossing you can remove these germs and help prevent periodontal disease.
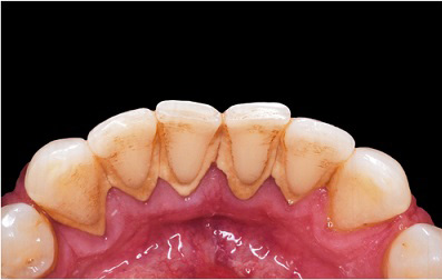
Periodontal diseases can be accelerated by a number of different factors. However, it is mainly caused by the bacteria found in dental plaque, a sticky colorless film that constantly forms on your teeth. If not carefully removed by daily brushing and flossing, plaque hardens into a rough, porous substance known as calculus (or tartar).
Other important factors affecting the health of your gums include:
Bacteria found in plaque produces toxins or poisons that irritate the gums, which may cause them to turn red, swell and bleed easily. If this irritation is prolonged, the gums separate from the teeth, causing pockets (spaces) to form. As periodontal diseases progress, the supporting gum tissue and bone that holds teeth in place deteriorate. If left untreated, this leads to tooth loss.
The best way to prevent gum disease is effective daily brushing and flossing as well as regular professional examinations and cleanings. Unfortunately, even with the most diligent home dental care, people still can develop some form of periodontal disease. Once this disease starts, professional intervention is necessary to prevent its progress.
Learn more about periodontal maintenance through our Patient Education library.
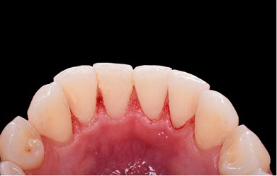
The initial stage of treatment for periodontal disease is usually a thorough cleaning that may include scaling or root planing. The objective of these non-surgical procedures is to remove etiologic agents such as dental plaque and tartar, or calculus, which cause gingival inflammation and disease. Scaling and root planing can be used as a stand-alone treatment, or a preventative measure. They are commonly performed on cases of gingivitis and moderate to severe periodontal disease.
When scaling is performed, calculus and plaque that attaches to the tooth surfaces is removed. The process especially targets the area below the gum line, along the root. Scaling is performed with a special dental tool called an ultrasonic scaling tool. The scaling tool usually includes an irrigation process that can be used to deliver an antimicrobial agent below the gums to help reduce oral bacteria.
When scaling is performed, calculus and plaque that attaches to the tooth surfaces is removed. The process especially targets the area below the gum line, along the root. Scaling is performed with a special dental tool called an ultrasonic scaling tool. The scaling tool usually includes an irrigation process that can be used to deliver an antimicrobial agent below the gums to help reduce oral bacteria.
Antibiotics or irrigation with anti-microbials (chemical agents or mouth rinses) may be recommended to help control the growth of bacteria that create toxins and cause periodontitis. In some cases, Dr. Singh may place antibiotic fibers in the periodontal pockets after scaling and planing. This may be done to control infection and to encourage normal healing.
When deep pockets between teeth and gums are present, it is difficult for Dr. Singh to thoroughly remove plaque and tartar. Patients can seldom, if ever, keep these pockets clean and free of plaque. Consequently, surgery may be needed to restore periodontal health.
If treatment is successful, scaling and planing may have many periodontal benefits. One is that it can help prevent disease. Research has proven that bacteria from periodontal infections can travel through the blood stream and affect other areas of the body, sometimes causing heart and respiratory diseases. Scaling and root planing remove bacteria that cause these conditions.
Another benefit of treatment is protecting teeth against tooth loss. When gum pockets exceed 3mm in depth, the risk for periodontal disease increases. As pockets deepen, more bacteria are able to colonize, eventually causing a chronic inflammatory response by the body to destroy gingival and bone tissue. This leads to tooth loss.
Finally, scaling and root planing may make the mouth more aesthetically pleasing, and should reduce bad breath caused from food particles and bacteria in the oral cavity. Superficial stains on the teeth will be removed during scaling and planing, adding an extra bonus to the procedures.
Periodontal disease is a serious infection under your gum line.
ARESTINยฎ (minocycline hydrochloride) is an antibiotic that kills the bacteria that causes the infection.
ARESTINยฎ starts working quickly, right at the source of infection, and keeps fighting bacteria long after you leave the dental office. 1,2
ARESTINยฎ fights infection and inflammation for 30 days,2 and provides significantly better results than scaling and root planing alone for up to 90 days.3